5歳の娘がヘルペス性歯肉口内炎にかかりました。インフルエンザのような高熱とヘルパンギーナのような食べられない症状、今まで聞いたことのない病名で戸惑いました。ネットで調べても情報が少なかったので、同じ症状の方の参考のために体験談を書いてみます。なお、あくまで娘の場合のひとつの体験談なので、人によって違いはあると思います。この記事の内容については一切責任を負いかねますので、詳しくは病院を受診してください。
ヘルペス性歯肉口内炎にかかった娘の症状
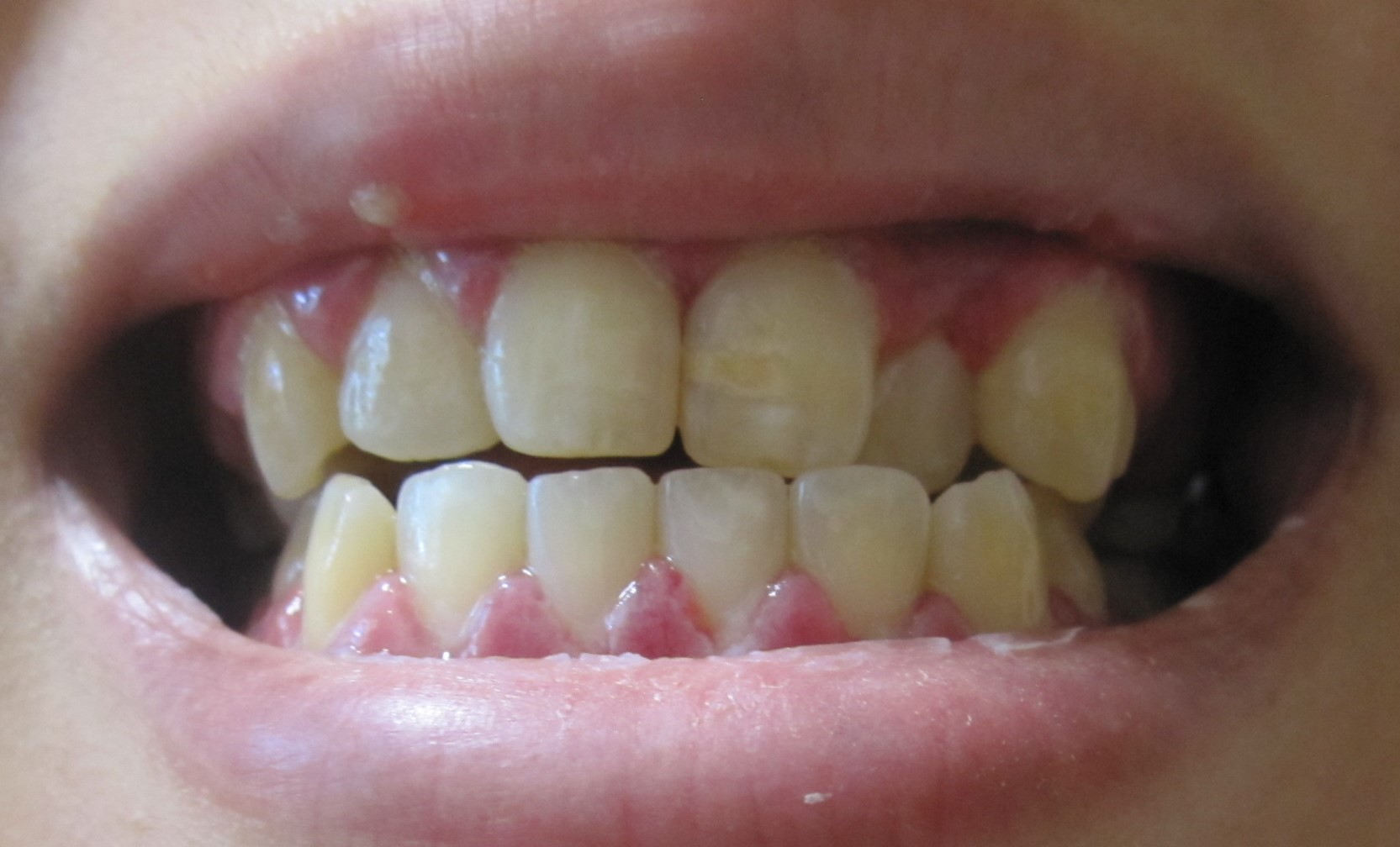
1日目:突然の発熱。口内炎ができた。
お盆休みで実家に帰省中、お昼過ぎまでは元気で遊びまわっていました。帰宅して下の子と一緒に昼寝して起きた時、体が熱いと感じたので熱を測ったところ、38.3℃。でもまだ元気だったので、心配しながらも家の中で普通に過ごしました。夕食時「口の中に痛いのができてる」と言っていましたが、普通に食事はできてお肉も食べていました。この時点では口内炎は1個だったと思います。
2日目:高熱が続き、受診するも「夏風邪」の診断。
夜は熱が39℃を超え、翌朝も下がらず、金曜日だったので今日のうちに受診しておいた方がいいと思い、実家近くの小児科を受診。口内炎の事も伝えましたが、喉の奥や手足には何もないため「夏風邪でしょう」と診断されました。薬は解熱剤だけでした。後から思えばこの時点で「ヘルペス性歯肉口内炎」と診断してウイルスを抑える薬をもらっていれば、もう少し早く治ったのでは…と思いますが、なかなか早期診断は難しいのでしょうか…。この時点ではまだおにぎり、あんぱんなどを食べていました。
3日目:40℃超えの高熱が続き、歯茎が腫れる。
解熱剤を飲んでも一時は37℃くらいに下がりますが、すぐにまた上がり、さすがにぐったりして食事があまりできなくなり寝込んでいました。口内炎がひどくなり、あんぱん、お味噌汁しか食べられなくなりました。時々ふざけておしゃべりしていたので、少し安心しました。
4日目:自宅近くの急患センターを受診。ヘルペス性歯肉口内炎と診断され、点滴される。
お盆休みが終わるので実家から自宅に帰りました。病院に行くのは月曜まで待とうかと思いましたが、口内炎がひどくなり、食べ物がほとんど食べられなくなったのと、元気がなく、とてもきつそうだったので、急患センターに電話。受診していいと言われたので車で連れて行きました。待ち時間中もきついといって待合室のソファに寝転がっていました。症状を見てすぐに「ヘルペス性歯肉口内炎」だろうと診断され、薬を処方されました。血液検査をして、脱水気味だったので点滴を受けました。炎症反応がとても高かったそうです。
5日目:熱が下がり、少し元気に。
点滴のおかげか少し元気になりました。熱も37℃台に下がってきました。でも口はかなり痛いようで、噛むものは全然食べられませんでした。この日も受診し、正式に「ヘルペス性歯肉口内炎」と診断されました。熱は下がりましたが、「給食が食べられるようになるまで保育園はお休みしてください」と言われました。
6、7日目:元気は戻るが、食べれず。
熱は完全に下がりましたが、食べたくても食べられないので泣いていました。でも家の中で遊んだりして、元気は出てきました。おじや、かぼちゃスープ、アイスなどを食べました。
8日目:病院で登園OKが出る。
前に受診した時に、3日後にまた来るよう言われていたので受診。口内炎はあるものの、熱は下がったので登園OKとのこと。濃厚な接触でなければうつらないのでプールもOKと言われる。
9~15日目:食べられるが、硬いものは痛い。
保育園の給食はカレーなども食べられたようですが、クッキーなど硬いものはまだ痛かったようです。15日目以降になってやっと通常通り食べられるようになってきた感じです。
ヘルペス性歯肉口内炎にかかった時の対処法は?
ヘルペス性歯肉口内炎の受診は何科?
ヘルペス性歯肉口内炎は何科を受診するのがいいのでしょうか。最初は発熱があるので内科かと思いますが、口内炎は耳鼻科の専門だし、歯茎は歯科、ヘルペスの専門は皮膚科だそうです。でも子供の場合はひとまず小児科で診てもらうのが一番だと思います。私は今まで全然知りませんでしたが、小児科ではよく知られている病気だそうです。大人の場合は私は高熱が出たし、ヘルペス性歯肉口内炎でない場合も考えられるので、内科を受診しました。事前に電話で受診していいかどうか確認すると確実です。
ヘルペス性歯肉口内炎の薬は?
娘は最初夏風邪と診断されたので、ヘルペス性歯肉口内炎の薬をもらったのは発熱4日後でした。「アシクロビル」という薬を処方されました。薬はきちんと飲みましたが、すでに口内炎ができていたので、薬でどれだけウイルスを抑えられたかは正直不明です。口内炎ができてしまうと、薬を飲んでも治るまでには数日かかってしまいます。また、私がかかった時は口内の炎症を抑えるために「アズノール」といううがい薬をもらいましたが、娘の時は処方されませんでした。
ヘルペス性歯肉口内炎にかかった時の食事は?
これが一番大変でした。普通の食事ができなかったのは5日間くらいでしたが、毎食何を食べさせようか悩みました。お味噌汁、おじや、スープなど離乳食のような食事しか食べられませんでした。水分もコップだと唇に当たって痛いので、ストローで飲んでいました。後半は熱も下がって元気なので、「好きなものが食べたいのに食べられない!」「おじやばっかりじゃ飽きる!」とストレスが溜まってわがままになってしまい、苦労しました。
↓詳しくはこちらの記事をどうぞ

ヘルペス性歯肉口内炎にかかった場合、保育園は?
娘は発症(発熱)から保育園に行けるまで約1週間かかりました。高熱が数日続き、その後口内炎がひどくなるというパターンみたいです。熱が下がっても給食が食べられないと登園できないのが、本人も行きたがるし、親も仕事に行けず辛かったです。
ヘルペス性歯肉口内炎の時の歯磨きは?
ヘルペス性歯肉口内炎の時は口の中がとても痛いので、歯磨きは嫌がります。病院で聞くと「無理にしなくていいです」とあっさり言われましたが、数日磨かないと口の中がベトベトして口臭がしてきました。なので歯ブラシより毛先が小さいデンタルタフトと歯磨きシートを使って歯磨きしていました。歯の側面は歯磨きシートで優しく拭いて、ベトベトを取りました。奥歯は歯ブラシだと周りにも当たって痛いので、デンタルタフトで歯の部分だけをちょこちょこっと磨きました。これだけでもさっぱりするし、虫歯の不安も少しは減るのでおすすめです。
※追記 私がうつった際にもデンタルタフトを使ってみましたが、歯茎に当たると結構痛かったので、奥歯はデンタルタフトで磨き、側面は歯磨きシートの方が痛くないと思います。
↓デンタルタフト
↓歯磨きシート
ヘルペス性歯肉口内炎はどこから感染する?
プールでうつった?
突然かかってしまったヘルペス性歯肉口内炎ですが、どこでうつったんだろうと考えてみましたが、我が家の場合は発熱の3日前にプールに行ったので、その際にうつったのかなと思います。ヘルペスウイルスは誰でも持っているそうなので、感染源をなくすことは難しいですね。あとは免疫力を高めて発症しないようにするしかありませんが、我が家はお盆休みでついつい夜更かし気味だったので、それで抵抗力が下がって発症してしまったのかなと思います。
大人にはうつらない?私はうつりました( ゚Д゚)
病院では「ヘルペスウイルスはほとんどの人は気付かないうちに感染しているので、大人にはうつりません」と言われましたが、念のため娘とは食器、タオルは分け、気を付けているつもりでした。にももかかわらず私にもうつりました。3歳の次女には今のところうつっていません。看病しているとどうしても接触する機会が多いですが、大人もかかると大変なので、油断せずに気を付けてください!!
私がかかった体験談(現在進行形)も近々記録するつもりです…。
【2017/9/14追記】
↓大人がかかった体験談も記事にしましたので読んでみてください
↓子供の髪にしらみがいた体験談はこちら


コメント
こちらこそお返事ありがとうございます。
隅から隅まで記事何度も読ませて頂きました。
わたしには幸い移っていませんが、わたしがヘルペスもちなので移したんだと思います。
息子は一週間目からパン、いちごなどが食べれるようになり、回復の兆しが見えたような気がします。
あと一週間、、、と頑張ろうと思います。長いですね。。。
息子はaiai様の息子様より症状が軽いのかもしれません。
ジュースやゼリーやアイスはずっと問題なく食べれていますし、口内炎も片方一個のようです。
唇に口内炎ができそうなのがありそれに怯えていますが、、、。ただのヘルペスならよいのですが。。。
しかしもともと偏食なものでここぞとばかりに甘いものしか食べず。。。しかし
歯磨きの件、確かにクッキーとかを食べてるわけではないですし、安心しました。
歯医者さんに聞いたんですが二週間くらい歯磨きをしないところで重症の虫歯はできないとのこと。それよりも普段の生活が大事とのことでした。
病院も行かないことにしました。
本当にありがとうございます。
息子さん、回復の兆しが見えてきたとのことでよかったです。
拙いブログですが、少しでもお役に立てたようで嬉しいです!
ヘルペス性歯肉口内炎は知名度が低くて、周りにかかったことがある人がいなくて不安になりますよね…。
ひさと様の息子さんが早く元気になられることを心から祈っています。
こんにちは。
こちらのブログ大変参考にさせていただきました。
3歳の息子が奥歯の方を痛がり、病院にいったものの、無知な医者ばかりで参ってました。
ヘルペス性口内炎の症状そのものなんです。素人が偉そうになんですが、
風邪だとか口内炎だとか。。。ヤブ医者しかいません。
もう一週間になりますので、熱はなく自然治癒しようかなと思っていますが、歯磨きができず口臭もあります。
お子様、虫歯は大丈夫でしたでしょうか?
今日から拭くぐらいはしようかと思います。
歯茎も当たったら痛いのでしょうか?
まだ3歳ではっきり大人のように話すタイプでもなく、病院で嫌な先生でかなり怖がらせてしまい、病院に連れていくのもきが引けています。(現在妊娠中で暴れる子を一人で連れていけないのもあります。)
ご相談にのっていただけると嬉しいです。
コメントありがとうございます!
息子さんお辛いでしょうね…。私もうつりましたが、大人でも本当に痛いです。
我が家は4か月ごとに定期的に歯医者に検診にいっており、ヘルペス性歯肉口内炎にかかったのが8月で、10月に検診でしたが、奥歯に以前からしていたシーラントは剥がれていて再度処置をしましたが、特に虫歯にはなっていませんでした。痛くて噛む食べ物はあまり食べず、食べカスがあまり溜まらないと思うので、それほど心配されなくても大丈夫だと思います。
歯茎は硬いものが当たると激痛が走ります(>_<)記事にも書きましたが濡らしたガーゼで優しく拭くのがいいと思います。 薬はもらいましたが、初期に飲まないとあまり効果がないようで、すでに一週間とのことなので、無理に病院に行かなくてもいいのではと思います。 感染力は強くはないようですが、私はうつったので気を付けられてくださいね。 息子さん早く治りますように。